Planifikoni vizitën tuaj tani Filloni ndryshimin

Një pritje e ngrohtë dhe një Buzëqeshje e bukur
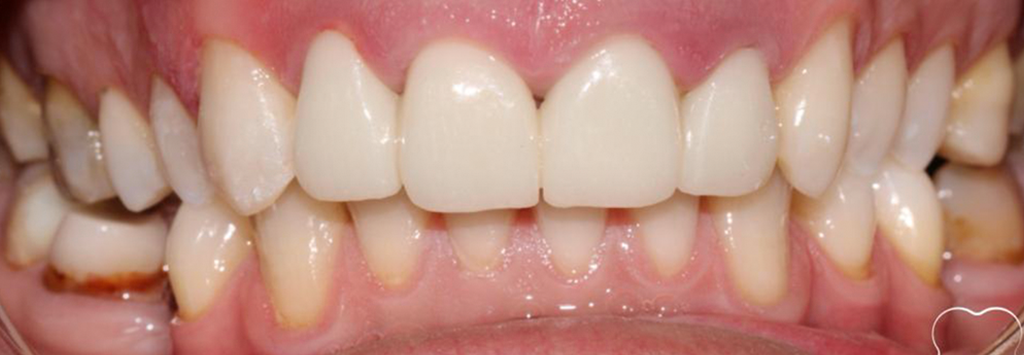
Klientët tanë janë prioriteti ynë, dhe ne ofrojmë shërbime cilësore dentare me një ekip specialistësh. Më shumë detaje rreth shërbimeve tona më poshtë.

Rreth Klinikës Tonë Stomatologjike
Klientët tanë janë prioriteti ynë, ne ofrojmë shërbime cilësore dentare me një ekip specialistësh. Më shumë detaje rreth shërbimeve tona më poshtë.
ZbuloDiplomat Dental
Klientët tanë janë prioriteti ynë, ne ofrojmë shërbime cilësore dentare me një ekip specialistësh. Më shumë detaje rreth shërbimeve tona më poshtë.

INPLANTE

GUM

RRËNJ

GRAFI

ZBARDHIM

PARANDALIM

TELA

iDOCTOR
Book Your
Appointment Online
The No. 1 South London tram goes right past our door. Get off at Stop 11. Any tram down St Patrick Road—jump off at Oak Street, Stop 11 and take a 6-minute walk.

RezervoTakimin tënd Online
Rruga për tek ne
Rruga Sotir Kolea nr 32 , Tiranë 1000, Shqipëri.
ME MAKINË
10 Minuta nga qëndra e Tiranës
Vende Parkimi
Qendra e Parkimit të Tiranës





Mundë të na kontaktoni në +355 69 619 3994 E Hënë – E Premte 9am – 19:30pm, email [email protected] ose plotëso formen Formë Kontakti




